shape
shape

Right Ventricular failure in ICU – Part 1

  • Home
  • Quiz
  • Right Ventricular failure in ICU – Part 1
Featured Image

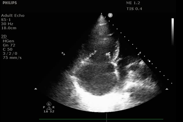
A 58-year-old man with a history of chronic obstructive pulmonary disease (COPD) and untreated obstructive sleep apnea (OSA) is admitted to the ICU with acute shortness of breath, hypotension, and rising oxygen requirement. He has a prior history of pulmonary hypertension (PHT) and moderate tricuspid regurgitation (TR). On examination, he is tachycardic, jugular venous pressure is elevated, and peripheral edema is noted.

Bedside transthoracic echocardiography shows a dilated right ventricle (RV) , systolic septal flattening, and preserved left ventricular systolic function. His CVP is 20 mmHg, pulmonary artery systolic pressure is elevated, and his mixed venous oxygen saturation has started to fall.

You are asked to manage this patient’s acute right ventricular failure.

Leave A Comment

Your email address will not be published. Required fields are marked *